Centre de Santé Dentaire Mutualiste Le Luc
Chirurgiens-Dentistes Le Luc en Provence
LE CENTRE DENTAIRE DU LUC EN PROVENCE
PLAN D'ACCÈS
ACTUALITÉS
URGENCES
VIDÉOS PÉDAGOGIQUES
FICHES CONSEILS
QUESTIONNAIRE COVID-19
HONORAIRES
PRENDRE-RENDEZ-VOUS-EN-LIGNE
38 Bis Rue Lamartine, 83340 Le Luc
+33 4 94 60 78 68
Centre de Santé Dentaire Mutualiste Le Luc
Chirurgiens-Dentistes Le Luc en Provence
LE CENTRE DENTAIRE DU LUC EN PROVENCE
PLAN D'ACCÈS
ACTUALITÉS
URGENCES
VIDÉOS PÉDAGOGIQUES
FICHES CONSEILS
QUESTIONNAIRE COVID-19
HONORAIRES
PRENDRE-RENDEZ-VOUS-EN-LIGNE
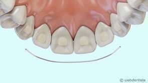
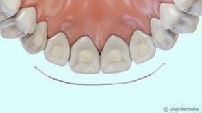
Fil de contention
Vidéos 3D
Partager
Twitter
Partager
Partager
Envoyer
Copier
Centre de Santé Dentaire Mutualiste Le Luc
38 Bis Rue Lamartine
83340
Le Luc
+33 4 94 60 78 68
Politique de confidentialité et charte cookie
Mentions légales
Conditions Générales Utilisation
Charte déontologique
Ordre national
Annuaires chirurgiens dentistes
Création par
Connexion